
Model odgovora antitela zavisnog od T ćelije (TDAR).
Odgovor antitijela ovisan o T stanicama (TDAR), je imunološki posredovana, genetska bolest koja se manifestira na koži ili zglobovima ili oboje. To je dugotrajna, nezarazna autoimuna bolest koju karakteriziraju mrlje abnormalne kože.
Uzroci:
Općenito se smatra da je psorijaza genetska bolest koju pokreću okolišni faktori. Psorijaza je povezana saHLA-Cw6alel; generalizirana pustularna psorijaza je povezana sCARD14mutacija;CDKAL1je povezan sa psorijazom.

Blage traume kao što su ogrebotine, pirsing, tetovaže, opekotine od sunca i hemijski iritanti smatraju se okidačkim faktorima.
Centralni mehanizmi bolesti uključuju unakrsni razgovor između urođenog i adaptivnog imuniteta i centralne uloge TNF-a; osi IL23/Th17, te učinak imunoloških reakcija na druge stanice u koži.
Simptomi bolesti:
Ova područja su crvena, ružičasta ili ljubičasta, suha, svrbežna i ljuskasta. Psorijaza varira u težini od malih lokaliziranih mrlja do potpunog pokrivanja tijela. Povreda kože može izazvati psorijatične promene kože na tom mestu, što je poznato kao Koebnerov fenomen.
Pet glavnih tipova psorijaze suplak, gutat, inverzni, pustularni i eritrodermijski. Plak psorijaza, poznata i kao psorijaza vulgaris, čini oko 90% slučajeva. Obično se predstavlja kao crvene mrlje sa bijelim ljuskama na vrhu. Najpogođenija područja tijela su stražnji dio podlaktica, potkoljenice, područje pupka i vlasište. Gutatna psorijaza ima lezije u obliku kapi. Pustularna psorijaza se manifestuje kao mali, neinfektivni, gnojni plikovi. Inverzna psorijaza formira crvene mrlje u naborima kože. Eritrodermijska psorijaza nastaje kada osip postane vrlo raširen i može se razviti iz bilo kojeg drugog tipa. Nokti na rukama i nogama su pogođeni kod većine ljudi s psorijazom u nekom trenutku. To može uključivati rupice na noktima ili promjene u boji noktiju.
Prednosti odNHPModel odgovora antitela zavisnog od T ćelije (TDAR).
- Zbog visokog stepena sličnosti između imunoloških sistema ljudskih i neljudskih primata, modeli majmuna su od najveće vrijednosti u procjeni efekata interventnih jedinjenja na ljudski imuni sistem.
- Model psorijaze kod cynomolgus majmuna je nisko invazivan i neterminalni model izazvan lokalnom primjenom imikvimoda.
- Model psorijaze majmuna koristan je u pretkliničkom razvoju novih bioloških lijekova za morbiditet.
Dizajn studije i kliničke krajnje točke
Dizajn studija

Krajnja tačka
Posmatranje kože (osip, eritem, ljuspice)
Skin PASI rezultat
Imunotipizacija protočnom citometrijom
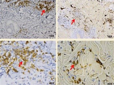
Histopatologija kože: HE
qPCR kože za IL23/Th17 gene
ključni rezultat i legenda figure

Kontaktirajte nas za više informacija
Popularni tagovi: T ćelijski ovisni antitijela odgovor (TDAR) Model, istraživanje, studija, majmun, genska terapija
Moglo bi vam se i svidjeti
Pošaljite upit
















